Hiện tượng chảy máu chân răng nhiều khiến bạn cảm thấy khó chịu. Gây ảnh hưởng trực tiếp đến sinh hoạt hàng ngày. Không những thế, đây còn là lời cảnh báo rằng sức khỏe của bạn gặp vấn đề. Nếu bạn đang muốn tìm kiếm câu trả lời về nguyên nhân và các cách khắc phục tình trạng chảy máu chân răng, mời bạn tham khảo bài viết dưới dây.
I. Chảy máu chân răng là gì?
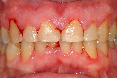
Trên thực tế, tỷ lệ người mắc chảy máu chân răng là khá cao, khoảng 90% dân số. Đây là tình trạng chảy máu ở phần nướu xung quanh răng do các mảng bám tích tụ dọc theo viền nướu. Bởi vùng khe hở giữa nướu và răng là nơi cư trú hoàn hảo của các loại vi khuẩn gây hại.
II. Nguyên nhân gây chảy máu chân răng nhiều
Tình trạng chảy máu chân răng nhiều là dấu hiệu cảnh báo sức khỏe răng miệng của bạn đang gặp vấn đề. Thủ phạm gây ra bao gồm:

1. Bệnh viêm nướu
Chảy máu chân răng có thể là dấu hiệu đầu tiên của bệnh nướu răng. Khi mảng bám trên răng tại đường viền nướu không được lấy đi hết. Sẽ khiến vi khuẩn tồn đọng, lây nhiễm nướu. Làm xuất hiện các triệu chứng viêm nướu như sưng, đau, đôi khi nướu bị chảu máu trong khi đánh răng hoặc sử dụng chỉ nha khoa. Hiện tượng trên kéo dài mà không có biện pháp can thiệp sẽ khiến nướu có nguy cơ bị tụt. Làm chân răng lộ ra ngoài, ảnh hưởng xấu đến thẩm mỹ.
2. Các loại thuốc
Hiệp hội Nha khoa Hoa kỳ cho biết. Nguyên nhân gây chảy máu chân răng nhiều là do thuốc làm loãng máu. Bởi nó làm giảm khả năng đông máu, khiến bạn dễ bị chảy máu. Ngoài ra việc sử dụng một số loại thuốc làm bạn bị khô miệng. Ảnh hưởng đến lượng nước bọt tiết ra trong miệng để trung hòa các axit béo, tiêu diệt vi khuẩn trong răng. Do đó, bạn cần nói với nha sĩ về tình trạng sử dụng các loại thuốc mỗi khi thăm khám nha khoa định kỳ.
3. Bàn chải đánh răng thô cứng

Nhiều người bắt đầu bị chảy máu chân răng khi đổi bàn chải đánh răng. Nếu bạn sử dụng bàn chải đánh răng thô cứng hãy thay thế bằng các loại bàn chải có đầu lông mềm tạo cảm giác nhẹ nhàng khi vệ sinh răng.
4. Vệ sinh răng miệng kém
Đôi khi chính việc “lơ là” chăm sóc răng miệng có thể dẫn đến chảy máu chân răng. Không đánh răng kỹ bỏ qua việc đánh răng buổi tối. Không dùng chỉ nha khoa, máy tăm nước khiến bạn gặp khó khăn trong việc loại bỏ các mảng bám gây sưng và viêm nướu. Nghiên cứu cho thấy nướu khỏe mạnh bạn có thể trở thành nướu bị bệnh sau 1 đến 2 tuần nếu bạn không chăm sóc răng miệng đúng cách. Xịt máy tăm nước ít nhất 2 lần một ngày.
5. Chế độ ăn thiếu dinh dưỡng
Một số thành phần trong thực phẩm chế biến mà bạn tiêu thụ hàng ngày có thể gây kích ứng nướu và khiến chúng chảy máu. Vì vậy, hãy lựa chọn thực phẩm lành mạnh cung cấp đủ dưỡng chất. Chảy máu chân răng chủ yếu bắt nguồn từ việc thiếu hụt vitamin C, vitamin K. Đây là những loại vitamin cần thiết giúp làm đông máu nên bổ sung các loại trái cây và rau củ quả canxi Vitamin C, K và magie để tăng cường sức khỏe răng miệng.
6. Hút thuốc lá quá nhiều
Những người hay hút thuốc thường có nhiều mảng bám cao răng. Ngoài ra, các chất có hại trong thuốc lá khiến người hút dễ mắc những bệnh về nướu. Nướu nguyên nhân hàng đầu gây chảy máu chân răng. Bên cạnh đó, khói thuốc lá khiến bạn sở hữu hơi thở khó chịu và đối mặt với hàng loạt bệnh lý về răng miệng như: viêm nha chu, rụng răng …

Gọi Điện
Messenger
Chat Zalo